More On Diagnostics

Why Your Vet Recommends Diagnostics

Your veterinarian may recommend diagnostic tests for three primary reasons: Wellness Screening, Investigating Illness, and Monitoring Treatment.

1. 🛡️ Wellness & Preventive Screening

Diagnostics are used to establish a health baseline and catch diseases early, often before your pet shows any obvious signs of illness. This is particularly important for senior pets or before major procedures.

  • Catching Early Disease: Bloodwork (like a Complete Blood Count or Chemistry Panel) can detect early signs of kidney disease, liver disease, diabetes, or thyroid issues when they are still manageable.

  • Pre-Anesthetic Safety: Before any surgery or dental procedure, bloodwork is performed to ensure the pet's liver and kidneys are healthy enough to safely process anesthetic drugs, significantly reducing surgical risks.

2. 🔍 Investigating Illness

When a pet is sick or acting abnormally, diagnostics help pinpoint the cause and location of the problem.

  • Confirming Diagnosis: If a pet has diarrhea, a fecal exam can confirm if intestinal parasites are the cause. If a pet is coughing, chest X-rays might be needed to determine if the issue is heart disease or pneumonia.

  • Locating the Problem: Imaging (X-rays or ultrasound) allows the vet to view internal organs, bones, and soft tissues to find foreign objects, tumors, fractures, or organ abnormalities that can't be felt during a physical exam.

3. ✅ Monitoring Treatment & Medication

Once a pet is diagnosed and treatment begins, diagnostics are used to ensure the medication is working safely and effectively.

  • Drug Safety: For pets on long-term medications (e.g., for arthritis, thyroid conditions, or seizures), regular blood tests ensure the drug dosage is correct and not negatively affecting the liver or kidneys.

  • Tracking Disease Progression: For chronic conditions like diabetes, repeated blood tests (e.g., blood glucose curves) or urine tests help the vet adjust insulin or medication to keep the condition stable.

In short, diagnostics transform guesswork into evidence-based medicine, allowing your vet to provide the most precise and effective care possible.

Diagnostics Gallery

Demodex found during ear cytology. This ectoparasite usually lives in hair follicles, including in human eyelashes, and is a type of mite

Uroliths (or stones found in the bladder (Yellow Arrow) and kidneys (Brown Arrow) of a feline patient during radiographs

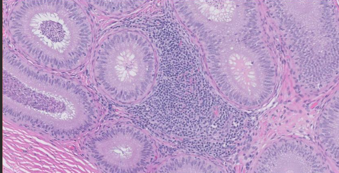
Microscopic review of lymph node via a fine needle aspirate. Cells collected indicated the presence of a spindle cell tumour

Radiology Room with X-ray Machine

Microscopic review of a testicle with unusual development. Sperm Granuloma found during histopathology

Sedated canine patient position and restrained for hands free radiograph technique