More On Dentistry

Do you ever wonder why your vet is suggesting a dental for your pet?

Oral health is directly linked to overall health

Just like in humans, plaque and tartar buildup can lead to painful conditions like gingivitis and periodontal disease. If left untreated, the bacteria from severe dental disease can enter your pet's bloodstream and damage vital organs like the heart, liver, and kidneys.

We aren't just cleaning teeth; we're protecting your pet's quality of life and longevity

Are you interested in learning more? Would you like to book a consult?

Contact Us Today!

What is a Professional Veterinary Dental Cleaning?

A professional veterinary dental cleaning is a comprehensive procedure essential for your pet's long-term health. It goes beyond a simple scaling to address issues both visible and hidden.

Key Components of the Procedure:

  1. Initial Exam & Education: The process begins with an awake oral exam by a veterinarian to assess the general dental condition, discuss concerns, and offer home care advice.

  2. Pre-Anesthetic Testing: Blood work is drawn and analyzed to check for underlying health issues and ensure the pet is healthy enough to undergo anesthesia safely.

  3. Anesthesia: The pet is anesthetized for the procedure. Veterinary professionals follow safe protocols and may use a local anesthetic to reduce the required general anesthetic, enhancing safety and speeding up recovery.

  4. Comprehensive Cleaning (While Under Anesthesia):

    • Full Oral Exam and Radiographs (X-rays): X-rays are crucial for identifying painful problems beneath the gum line, such as broken roots, abscesses, or severe periodontal disease.

    • Subgingival Cleaning: The area under the gum line is cleaned thoroughly to remove the bacteria where periodontal disease begins—a step impossible in an awake animal.

    • Scaling and Polishing: Visible plaque and tartar are removed from the tooth crowns (scaling), and the teeth are then polished to create a smooth surface that resists future plaque adherence.

  5. Post-Procedure: Pets typically recover quickly and can return home the same day. The owner receives a full report of findings and recommendations for ongoing home dental care.

The main benefit of a professional cleaning is identifying and treating painful issues below the gum line that cannot be addressed in an awake or non-anesthetized procedure.

For more information, visit: https://afd.avdc.org/

BEFORE

AFTER

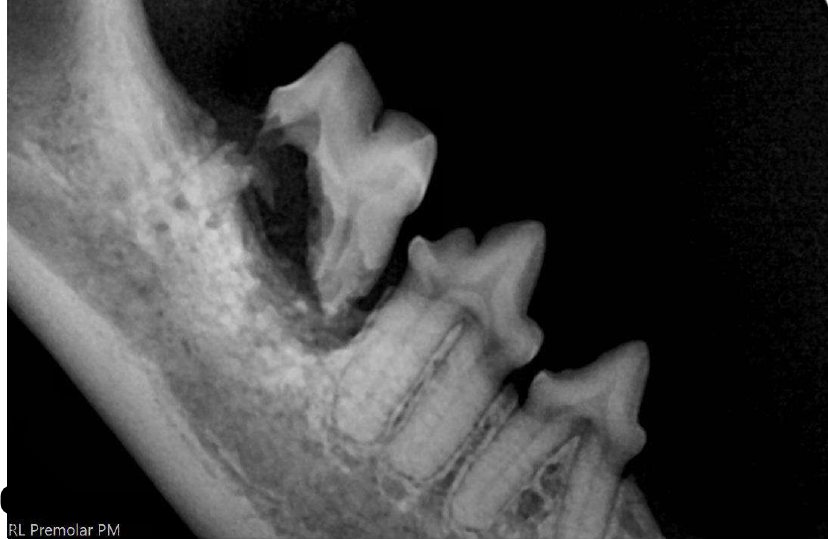
Cat Undergoing Dental Radiographs

Resorption of Tooth Roots Found during Radiographs

What is the VOHC Seal?

The Veterinary Oral Health Council (VOHC) awards a Seal of Acceptance for products that successfully meet pre­set criteria for effectiveness in controlling plaque and/or calculus deposition in dogs and cats. The VOHC is an entity of the American Veterinary Dental College®.

For information about the VOHC and to view the list of products that have been awarded the VOHC Seal of Acceptance, click on the VOHC button below.

Brushing Your Pet’s Teeth in 4 Easy Steps